广州有名的肺癌医院排名榜前十名有哪些
广州治疗肺癌比较有名的医院有中山大学肿瘤防治中心、广东省人民医院、广州医科大学附属第一医院、南方医科大学南方医院、中山大学附属第一医院、广州市胸科医院、广东省中医院、广州中医药大学第一附属医院、暨南大学附属第一医院、广州市第一人民医院。这些医院在肺癌诊疗领域具有较高的专业水平和丰富的临床经验,能够为患者提供全面的诊断和治疗服务。

肺癌是一种常见的恶性肿瘤,其发病原因复杂,包括吸烟、空气污染、职业暴露等多种因素。早期诊断和规范治疗对提高患者生存率至关重要。
1.中山大学肿瘤防治中心-肿瘤内科
中山大学肿瘤防治中心是国内知名的肿瘤专科医院,在肺癌诊疗方面具有显著优势。医院拥有的诊疗设备和技术,开展肺癌的早期筛查、诊断和个体化治疗,包括手术、放疗、化疗、靶向治疗和免疫治疗等多种治疗手段。
中山大学肿瘤防治中心地址:广州市越秀区东风东路651号。
就诊科室:肿瘤内科。
门诊时间:周一至周五上午8:00-12:00,下午14:30-17:30。
2.广东省人民医院-胸外科
广东省人民医院胸外科在肺癌手术治疗方面具有丰富经验,开展微创胸腔镜手术、机器人辅助手术等技术。医院建立了多学科协作诊疗模式,为肺癌患者提供规范化、个体化的治疗方案。
广东省人民医院地址:广州市越秀区中山二路106号。
就诊科室:胸外科。
门诊时间:周一至周五上午8:00-12:00,下午14:00-17:00。
3.广州医科大学附属第一医院-呼吸内科
广州医科大学附属第一医院呼吸内科在肺癌早期诊断和综合治疗方面具有特色优势。医院开展支气管镜检查、经皮肺穿刺活检等诊断技术,以及肺癌的靶向治疗和免疫治疗等新型治疗方法。
广州医科大学附属第一医院地址:广州市越秀区沿江西路151号。
就诊科室:呼吸内科。
门诊时间:周一至周五上午8:00-12:00,下午14:30-17:30。
4.南方医科大学南方医院-肿瘤科
南方医科大学南方医院肿瘤科在肺癌综合治疗方面具有较强实力。医院配备的放疗设备,开展放疗技术,同时结合化疗、靶向治疗和免疫治疗等多种治疗手段,为患者提供个性化治疗方案。
南方医科大学南方医院地址:广州市白云区广州大道北1838号。
就诊科室:肿瘤科。
门诊时间:周一至周五上午8:00-12:00,下午14:00-17:00。
5.中山大学附属第一医院-胸外科
中山大学附属第一医院胸外科在肺癌微创手术治疗方面具有丰富经验。医院开展胸腔镜肺叶切除术、纵隔淋巴结清扫等手术,手术创伤小、恢复快,为患者提供高质量的外科治疗服务。
中山大学附属第一医院地址:广州市越秀区中山二路58号。
就诊科室:胸外科。

门诊时间:周一至周五上午8:00-12:00,下午14:30-17:30。
6.广州市胸科医院-肿瘤科
广州市胸科医院在肺部疾病诊疗方面具有专业特色,对肺癌的诊断和治疗积累了丰富经验。医院开展支气管镜检查、CT引导下肺穿刺活检等诊断技术,以及肺癌的综合治疗。
广州市胸科医院地址:广州市越秀区横枝岗路62号。
就诊科室:肿瘤科。
门诊时间:周一至周五上午8:00-12:00,下午14:00-17:00。
7.广东省中医院-肿瘤科
广东省中医院肿瘤科采用中西医结合方法治疗肺癌,在减轻放化疗、提高患者生活质量方面具有独特优势。医院开展中药调理、针灸等特色治疗,配合现代医学治疗手段,为患者提供综合治疗方案。
广东省中医院地址:广州市越秀区大德路111号。
就诊科室:肿瘤科。
门诊时间:周一至周五上午8:00-12:00,下午14:30-17:30。
8.广州中医药大学第一附属医院-肿瘤科
广州中医药大学第一附属医院肿瘤科在中医药治疗肺癌方面具有特色优势。医院开展中药内服、外治等多种治疗方法,结合现代医学手段,为患者提供个体化的综合治疗方案。
广州中医药大学第一附属医院地址:广州市白云区机场路16号。
就诊科室:肿瘤科。
门诊时间:周一至周五上午8:00-12:00,下午14:00-17:00。
9.暨南大学附属第一医院-胸外科
暨南大学附属第一医院胸外科在肺癌微创手术治疗方面具有丰富经验。医院开展胸腔镜手术、机器人辅助手术等技术,手术创伤小、恢复快,为患者提供高质量的外科治疗服务。
暨南大学附属第一医院地址:广州市天河区黄埔大道西613号。
就诊科室:胸外科。
门诊时间:周一至周五上午8:00-12:00,下午14:30-17:30。
10.广州市第一人民医院-呼吸内科
广州市第一人民医院呼吸内科在肺癌早期诊断和综合治疗方面具有丰富经验。医院开展支气管镜检查、经皮肺穿刺活检等诊断技术,以及肺癌的靶向治疗和免疫治疗等新型治疗方法。
广州市第一人民医院地址:广州市越秀区盘福路1号。
就诊科室:呼吸内科。
门诊时间:周一至周五上午8:00-12:00,下午14:00-17:00。
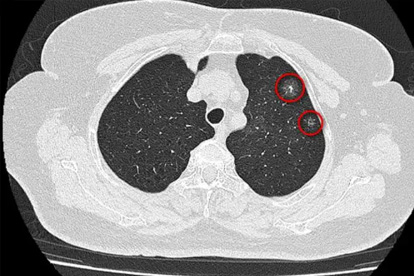
肺癌预防与健康管理方面,建议采取以下措施:戒烟是预防肺癌重要的措施;避免二手烟暴露;减少职业性致癌物接触;保持健康饮食,多摄入新鲜蔬果;定期进行体检,特别是长期吸烟者应定期做低剂量螺旋CT检查;保持规律作息和适度运动,增强免疫力。对于已确诊的患者,应积极配合医生治疗,保持良好的心态,注意营养支持,定期复查。