广州肺癌医院哪家有名
广州治疗肺癌比较有名的医院有中山大学肿瘤防治中心、广东省人民医院、广州医科大学附属第一医院、南方医科大学南方医院、广州市第一人民医院、中山大学附属第一医院、广州中医药大学第一附属医院、广东省中医院、广州市胸科医院、广州医科大学附属肿瘤医院。

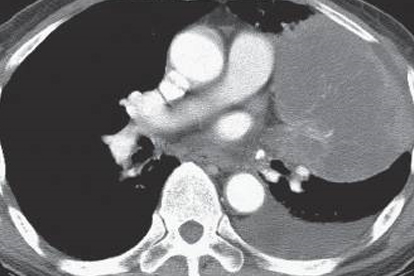
肺癌是一种常见的恶性肿瘤,其发病原因复杂,包括吸烟、环境污染、职业暴露以及遗传因素等。早期诊断和规范治疗对提高患者生存率至关重要。
1.中山大学肿瘤防治中心-肿瘤内科
中山大学肿瘤防治中心是国内知名的肿瘤专科医院,在肺癌诊疗方面具有丰富的临床经验和的技术设备。医院拥有多学科协作团队,能够为患者提准诊断和个性化治疗方案。该中心在肺癌靶向治疗、免疫治疗等领域处于国内前列。
中山大学肿瘤防治中心地址:广州市越秀区东风东路651号。
就诊科室:肿瘤内科。
门诊时间:周一至周五上午8:00-12:00,下午14:30-17:30。
2.广东省人民医院-胸外科
广东省人民医院胸外科在肺癌手术治疗方面具有显著优势,开展各类微创手术和复杂手术。医院配备的达芬奇手术机器人系统,能够实施的肺癌切除术。同时医院还开展肺癌多学科联合诊疗,为患者提供全方位服务。
广东省人民医院地址:广州市越秀区中山二路106号。
就诊科室:胸外科。
门诊时间:周一至周日全天。
3.广州医科大学附属第一医院-呼吸内科
广州医科大学附属第一医院呼吸内科在肺癌早期诊断和治疗方面具有特色优势。医院拥有国内的支气管镜检查和介入治疗技术,能够开展经支气管镜肺活检、射频消融等微创诊疗技术。该院在肺癌综合治疗方面积累了丰富经验。
广州医科大学附属第一医院地址:广州市越秀区沿江西路151号。
就诊科室:呼吸内科。
门诊时间:周一至周五上午8:00-12:00,下午14:30-17:30。
4.南方医科大学南方医院-肿瘤科
南方医科大学南方医院肿瘤科在肺癌综合治疗方面具有较强实力。医院开展化疗、放疗、靶向治疗、免疫治疗等多种治疗手段,并参与多项国际多中心临床试验。该院在肺癌医疗方面具有特色优势。
南方医科大学南方医院地址:广州市白云区广州大道北1838号。
就诊科室:肿瘤科。
门诊时间:周一至周日全天。
5.广州市第一人民医院-胸外科
广州市第一人民医院胸外科在肺癌微创手术方面具有丰富经验。医院开展胸腔镜肺癌术、纵隔镜手术等微创技术,创伤小、恢复快。该院还建立了肺癌多学科诊疗团队,为患者提供规范化治疗。
广州市第一人民医院地址:广州市越秀区盘福路1号。
就诊科室:胸外科。

门诊时间:周一至周五上午8:00-12:00,下午14:30-17:30。
6.中山大学附属第一医院-肿瘤科
中山大学附属第一医院肿瘤科在肺癌综合治疗方面具有较强实力。医院开展化疗、放疗、靶向治疗等多种治疗手段,并参与多项国际多中心临床试验。该院在肺癌医疗方面具有特色优势。
中山大学附属第一医院地址:广州市越秀区中山二路58号。
就诊科室:肿瘤科。
门诊时间:周一至周五上午8:00-12:00,下午14:30-17:30。
7.广州中医药大学第一附属医院-肿瘤科
广州中医药大学第一附属医院肿瘤科在肺癌中西医结合治疗方面具有特色优势。医院采用中医药配合现代医学治疗手段,减轻放化疗,提高患者生活质量。该院在肺癌姑息治疗方面积累了丰富经验。
广州中医药大学第一附属医院地址:广州市白云区机场路16号。
就诊科室:肿瘤科。
门诊时间:周一至周五上午8:00-12:00,下午14:30-17:30。
8.广东省中医院-肿瘤科
广东省中医院肿瘤科在肺癌中西医结合治疗方面具有特色优势。医院采用中医药配合现代医学治疗手段,减轻放化疗,提高患者生活质量。该院在肺癌姑息治疗方面积累了丰富经验。
广东省中医院地址:广州市越秀区大德路111号。
就诊科室:肿瘤科。
门诊时间:周一至周五上午8:00-12:00,下午14:30-17:30。
9.广州市胸科医院-胸外科
广州市胸科医院在肺部疾病诊疗方面具有专业优势,在肺癌诊断和治疗方面积累了丰富经验。医院开展各类肺部手术,并配备的诊疗设备。该院在肺部肿瘤的早期诊断方面具有特色。
广州市胸科医院地址:广州市越秀区横枝岗路62号。
就诊科室:胸外科。
门诊时间:周一至周五上午8:00-12:00,下午14:30-17:30。
10.广州医科大学附属肿瘤医院-肿瘤内科
广州医科大学附属肿瘤医院是专业的肿瘤专科医院,在肺癌综合治疗方面具有较强实力。医院开展化疗、放疗、靶向治疗等多种治疗手段,并参与多项国际多中心临床试验。该院在肺癌医疗方面具有特色优势。
广州医科大学附属肿瘤医院地址:广州市越秀区横枝岗路78号。
就诊科室:肿瘤内科。
门诊时间:周一至周五上午8:00-12:00,下午14:30-17:30。
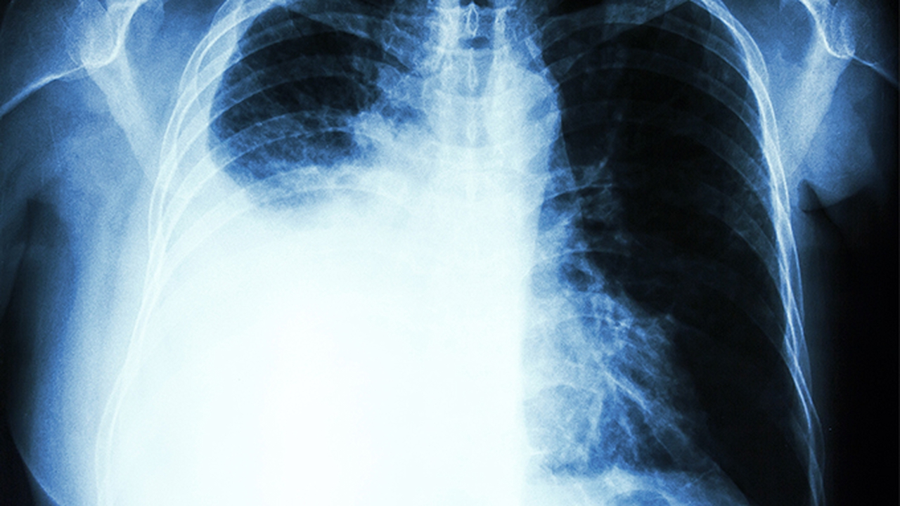
肺癌预防与健康管理方面,建议40岁以上人群特别是长期吸烟者定期进行低剂量螺旋CT筛查。戒烟是预防肺癌有效的措施,同时应避免二手烟暴露。注意职业防护,减少接触石棉、砷等致癌物质。保持健康生活方式,适量运动,均衡饮食,增强免疫力。出现持续性咳嗽、痰中带血、胸痛等症状时应及时就医检查。确诊肺癌后应选择正规医院接受规范治疗,并定期随访复查。