轻度肺结核3个月自愈是真的吗
轻度肺结核通常不会在3个月内自愈,需要规范抗结核治疗。肺结核是由结核分枝杆菌引起的慢性传染病,自愈概率极低,未经治疗可能导致病情加重或传播他人。

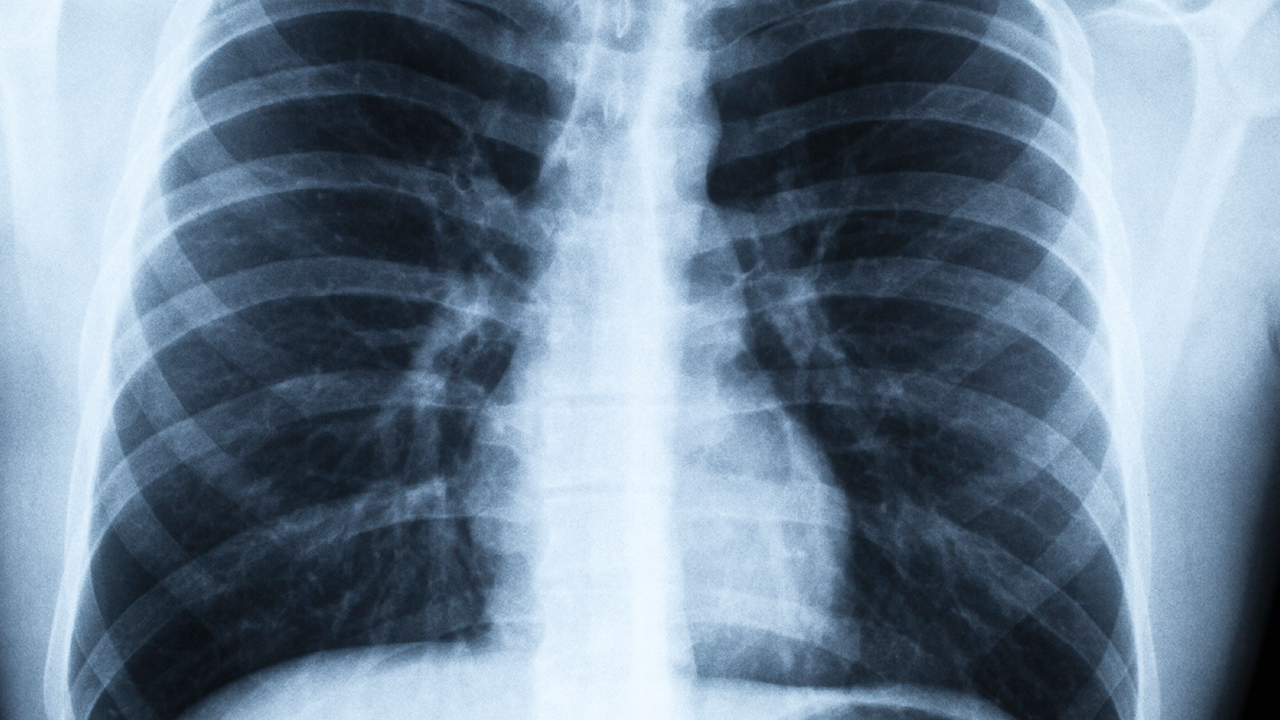
肺结核的自然病程较长,部分免疫系统较强的患者可能出现症状暂时缓解,但病灶中的结核杆菌仍可能存活并伺机复发。轻度肺结核患者可能出现低热、盗汗、乏力等非特异性症状,胸部影像学检查可显示局限性病灶。这类患者若未接受规范治疗,病灶可能缓慢进展为纤维化或钙化,但无法清除体内结核杆菌,存在远期复燃风险。

极少数免疫功能健全的感染者可能通过自身免疫力抑制结核杆菌繁殖,但这种情况多见于原发性肺结核且病灶范围极小者。即使影像学显示病灶吸收,仍需通过痰培养、分子生物学检测等确认病原体清除,而3个月时间通常不足以完成这一过程。临床上将这类情况称为生物学而非真正自愈,仍存在细菌复燃可能。
确诊肺结核后应尽早开始规范抗结核治疗,常用方案包括异烟肼片、利福平胶囊、吡嗪酰胺片等药物联合使用,全程治疗需6-9个月。治疗期间须定期复查肝功能、胸部影像学等指标,不可因症状缓解擅自停药。患者需保持居室通风,佩戴口罩防止飞沫传播,保证高蛋白饮食和充足休息以支持免疫功能。接触者应进行结核菌素试验筛查,婴幼儿需接种卡介苗预防感染。





