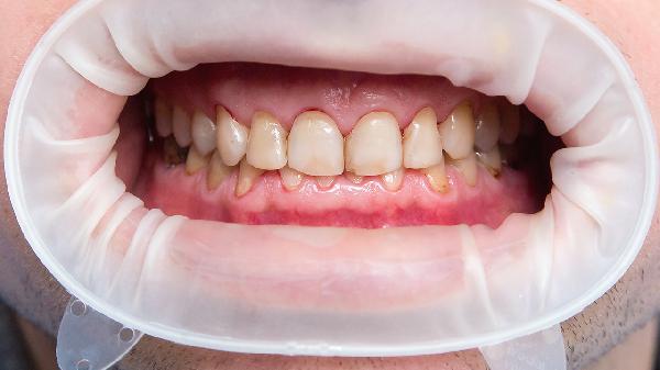
后槽牙蛀牙导致牙龈疼
整形外科编辑
医学科普人
整形外科编辑
医学科普人
后槽牙蛀牙导致牙龈疼可能与龋齿、牙髓炎、根尖周炎、牙龈炎、牙周炎等因素有关。龋齿是牙齿硬组织被细菌侵蚀形成的病损,当龋坏深入牙本质或接近牙髓时,可能刺激牙龈引发疼痛;牙髓炎因细菌感染牙髓组织,常伴随放射性牙龈肿痛;根尖周炎多由牙髓炎症扩散至根尖区,导致患牙周围牙龈压痛;牙龈炎和牙周炎则因菌斑堆积引发牙龈红肿出血。建议及时到口腔科就诊,通过临床检查结合X线片明确病因。

龋齿导致的牙龈疼通常发生在龋洞较深接近牙髓时。细菌代谢产物刺激牙本质小管或穿透牙本质层后,可能引发牙髓充血并波及牙龈。典型表现为冷热刺激痛或食物嵌塞痛,牙龈可能出现局限性红肿。治疗需清除腐质后采用玻璃离子水门汀或复合树脂充填,严重者需根管治疗。日常应使用含氟牙膏刷牙,并定期进行窝沟封闭预防。
急性牙髓炎发作时疼痛可放射至同侧牙龈及面部,表现为自发性跳痛且夜间加重。慢性牙髓炎可能仅表现为牙龈轻微胀痛。检查常见深龋或牙体缺损,冷热测试敏感。需通过根管治疗清除感染牙髓,配合使用甲硝唑芬布芬胶囊或洛索洛芬钠片缓解急性期疼痛。治疗期间避免用患侧咀嚼过硬食物。
根尖周炎急性期可见患牙叩痛明显,对应牙龈区红肿压痛,严重者可形成脓肿。X线片显示根尖区阴影。治疗需开髓引流,根管消毒后使用氢氧化钙糊剂充填,配合阿莫西林克拉维酸钾片控制感染。慢性根尖周炎可能仅表现为牙龈瘘管,需完善根管治疗或行根尖切除术。

菌斑性牙龈炎表现为牙龈边缘红肿,刷牙时出血,可能因食物嵌塞加重疼痛。治疗以超声洁治清除牙石为主,配合复方氯己定含漱液控制菌斑。日常需使用巴氏刷牙法,并辅助牙线清洁邻面。妊娠期牙龈炎需在产科医生指导下使用温和漱口水。
中重度牙周炎可出现牙周袋溢脓、牙龈萎缩及牙齿松动,疼痛多为持续性钝痛。治疗需进行龈下刮治和根面平整,严重者需牙周翻瓣手术。可短期使用盐酸米诺环素软膏置入牙周袋,同时口服奥硝唑分散片控制厌氧菌感染。吸烟患者需戒烟以改善牙周微循环。

出现后槽牙蛀牙伴牙龈疼时应避免自行服用止痛药掩盖症状。饮食宜选择温软食物,避免过冷过热刺激。使用小头软毛牙刷轻柔清洁患牙周围,配合冲牙器清除食物残渣。建议每半年进行一次口腔检查,对于已充填的牙齿需定期评估修复体边缘密合度。糖尿病患者更需严格控制血糖以降低口腔感染风险。