牙齿时不时松动什么原因
口腔科编辑
医普观察员
关键词: #牙齿
口腔科编辑
医普观察员
关键词: #牙齿
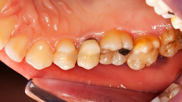
牙齿时不时松动可能与牙周炎、外伤性损伤、骨质疏松、妊娠期牙龈病变或颌骨肿瘤等因素有关。牙齿松动通常表现为咀嚼无力、牙龈出血、牙齿移位等症状,需根据具体病因采取针对性治疗。

牙周炎是牙齿松动的常见原因,主要由牙菌斑堆积引发牙龈炎症,长期未治疗会导致牙槽骨吸收。患者可能出现牙龈红肿、口臭、牙缝增宽等症状。治疗需通过龈下刮治清除菌斑,配合使用盐酸米诺环素软膏、甲硝唑口腔粘贴片等药物控制感染。日常需加强巴氏刷牙法清洁,每半年进行专业洁牙。
撞击或咬硬物可能导致牙周膜撕裂或牙根折断,表现为突发性牙齿松动伴疼痛。轻度损伤可通过牙弓夹板固定2-4周,重度断裂需根管治疗后行桩冠修复。急性期可冷敷缓解肿胀,避免用患侧咀嚼。运动时佩戴防护牙托能预防运动损伤。
全身性骨密度降低会影响牙槽骨支撑力,多见于绝经后女性和长期服用糖皮质激素者。除牙齿松动外,可能伴有腰背疼痛、身高缩短。需进行双能X线骨密度检测,补充钙剂和维生素D3,严重者使用阿仑膦酸钠片等抗骨吸收药物。增加奶制品和日照时间有助于改善。

妊娠期雌激素水平升高会加重牙龈对菌斑的反应,形成妊娠性龈瘤导致牙齿松动。特征为牙龈呈紫红色结节状增生,易出血。建议使用软毛牙刷和含氟漱口水,必要时行龈瘤切除术。分娩后激素水平恢复,症状多能自行缓解。
成釉细胞瘤或骨肉瘤等占位性病变会破坏颌骨结构,表现为渐进性牙齿松动伴颌骨膨隆。需通过CBCT检查明确范围,手术切除后可能需植骨重建。早期发现可通过刮治术保留牙齿,晚期需联合放化疗。定期口腔全景片检查有助于早期筛查。

日常应注意使用含氟牙膏配合牙线清洁,避免单侧咀嚼和咬合创伤。出现持续松动应及时就诊口腔科,拍摄X线片评估牙槽骨状态。糖尿病患者需严格控制血糖,吸烟者应戒烟以降低牙周病风险。建议每年进行专业口腔检查,早期干预可有效保留天然牙。