轻度氟斑牙会加重吗
整形外科编辑
健康解读者
关键词: #氟斑牙
整形外科编辑
健康解读者
关键词: #氟斑牙
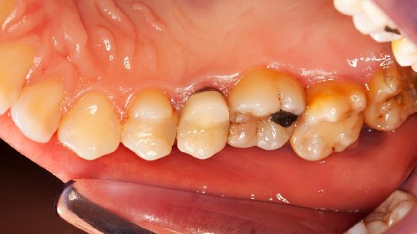
轻度氟斑牙一般不会自行加重,但若持续摄入过量氟化物可能导致病情进展。氟斑牙是因牙齿发育期摄入过量氟引起的釉质矿化异常,表现为牙面白垩色斑块。

轻度氟斑牙的釉质损伤较浅,仅表现为牙面不透明白斑,无明显缺损或变色。此时釉质发育已完成,若无新的高氟暴露,原有病变通常保持稳定。日常使用含氟牙膏、饮用符合标准的自来水不会导致氟斑牙恶化。但需注意避免长期饮用氟含量高的地下水、使用含氟量超标的劣质牙膏或误吞含氟漱口水等行为。

若儿童在恒牙发育期持续接触高氟环境,可能使轻度氟斑牙发展为中度或重度,出现釉质黄褐色改变、凹陷或缺损。成人长期从事氟相关工业且防护不足时,也可能因慢性氟中毒加重牙体损伤。某些地区饮用水氟含量超标或使用含氟量高的燃煤取暖,可能增加氟斑牙进展风险。

建议轻度氟斑牙患者定期口腔检查,儿童需监测恒牙发育情况。日常选择低氟牙膏,避免使用含氟量高的茶叶、海产品等食物。已形成的氟斑牙可通过树脂渗透、冷光美白等微创方式改善外观,严重缺损需瓷贴面修复。高氟地区居民建议安装净水设备,从源头控制氟摄入量。