锑尘肺的症状
心胸外科编辑
健康领路人
心胸外科编辑
健康领路人
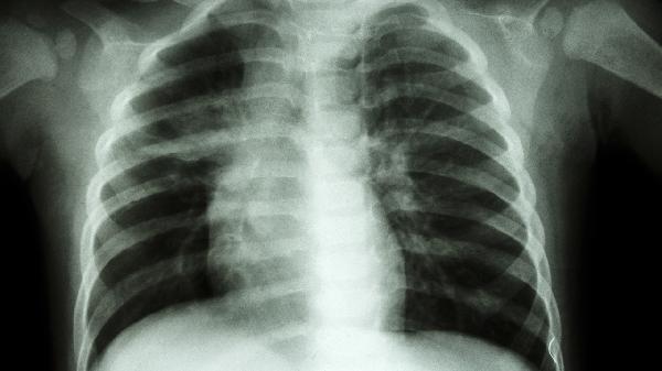
锑尘肺的症状主要有咳嗽、胸闷、胸痛、呼吸困难、乏力等。锑尘肺是由于长期吸入锑及其化合物粉尘引起的职业性肺部疾病,建议患者及时就医治疗。

咳嗽是锑尘肺的常见症状,主要表现为持续性干咳或伴有少量痰液。锑尘刺激呼吸道黏膜,导致炎症反应,引起咳嗽反射。随着病情进展,咳嗽可能逐渐加重,尤其在夜间或晨起时更为明显。患者应避免接触锑尘环境,并遵医嘱使用止咳药物如复方甘草片、氢溴酸右美沙芬口服液、枸橼酸喷托维林片等。
胸闷通常与肺部通气功能下降有关,锑尘沉积在肺泡和细支气管内,导致气体交换障碍。患者常感觉胸部压迫感或呼吸不畅,活动后症状可能加重。胸闷可能与肺纤维化或合并慢性支气管炎有关。建议患者进行肺功能检查,必要时使用支气管扩张剂如硫酸沙丁胺醇吸入气雾剂、异丙托溴铵气雾剂等改善症状。
胸痛多表现为隐痛或钝痛,可能与胸膜刺激或肺部炎症有关。锑尘引起的肺部病变可累及胸膜,导致胸膜增厚或粘连。疼痛常在深呼吸、咳嗽或体位改变时加重。胸痛需与心血管疾病鉴别,可遵医嘱使用非甾体抗炎药如布洛芬缓释胶囊、对乙酰氨基酚片、双氯芬酸钠肠溶片等缓解症状。

呼吸困难是锑尘肺进展期的典型表现,初期仅在体力活动时出现,后期静息状态下也可能发生。这与肺组织纤维化导致肺弹性下降、弥散功能障碍有关。患者可能出现气促、呼吸频率增快等症状。需通过氧疗或使用糖皮质激素如醋酸泼尼松片、甲泼尼龙片、地塞米松片等控制病情。
乏力与慢性缺氧和全身炎症反应有关,锑尘肺患者常感到疲倦、精力不足。长期低氧血症可能导致代谢紊乱,影响肌肉功能和能量供应。乏力可能伴随食欲减退、体重下降等全身症状。建议患者保证充足休息,适当补充营养,必要时进行康复训练改善体能。

锑尘肺患者应严格避免再次接触锑尘,工作环境需做好防护措施。日常生活中应戒烟,保持室内空气流通,进行适度有氧运动如散步、太极拳等增强肺功能。饮食上多摄入高蛋白、高维生素食物如鱼类、蛋类、新鲜蔬菜水果等。定期复查胸部影像学和肺功能,监测病情变化。如出现症状加重或发热等表现,应及时就医调整治疗方案。