肺结核病的诊断有哪些流程
传染科编辑
医普小能手
传染科编辑
医普小能手
肺结核病的诊断流程主要有痰涂片检查、结核菌素试验、胸部X线检查、分子生物学检测以及临床综合评估。

痰涂片检查是肺结核诊断的基础方法,通过显微镜观察痰液中是否存在抗酸杆菌。该方法操作简便且成本较低,但灵敏度有限,可能出现假阴性结果。患者需连续三天留取晨痰送检,采样前应清洁口腔避免污染。阴性结果不能完全排除结核感染,需结合其他检查综合判断。
结核菌素试验通过皮内注射纯蛋白衍生物观察皮肤反应,判断是否存在结核分枝杆菌感染。注射后48-72小时测量硬结直径,阳性反应提示既往感染或疫苗接种。该试验无法区分活动性结核与潜伏感染,免疫功能低下者可能出现假阴性。儿童接种卡介苗后可能出现交叉反应。
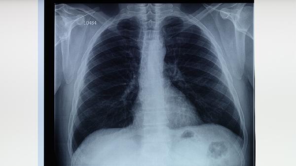
胸部X线可显示肺结核特征性病变,如上肺野浸润影、空洞形成或纤维钙化灶。典型影像表现为多形态病灶共存,但需与肺炎、肺癌等疾病鉴别。CT检查能更清晰显示微小病灶和纵隔淋巴结肿大。影像学异常需结合病原学检查确诊,单纯影像表现不能作为最终诊断依据。

GeneXpert等核酸扩增技术可快速检测痰标本中的结核分枝杆菌DNA及利福平耐药基因。该方法灵敏度显著高于痰涂片,2小时内可获得结果。线性探针检测能同时识别多种抗结核药物耐药突变。分子诊断对肺外结核和儿童结核病诊断价值更高,但需专业实验室支持。
医生需结合流行病学史、症状持续时间、体征和辅助检查结果进行综合判断。典型症状包括咳嗽超过2周、低热盗汗、体重减轻等。对疑似病例应开展接触者筛查,合并糖尿病或HIV感染者需提高警惕。诊断困难时可考虑支气管肺泡灌洗或病理活检,所有确诊病例须进行耐药检测。

确诊肺结核后应实施呼吸道隔离,密切接触者需接受筛查。治疗期间须定期复查痰菌和肝肾功能,保证充足营养摄入。患者需全程规范用药,避免擅自停药导致耐药。居住环境保持通风,咳嗽时掩住口鼻,痰液需消毒处理。完成治疗后仍需随访2年,监测复发可能。