肺结核的检查是什么
传染科编辑
医言小筑
传染科编辑
医言小筑
肺结核的检查主要有痰涂片检查、结核菌素试验、胸部X线检查、γ-干扰素释放试验、分子生物学检测等。肺结核是由结核分枝杆菌感染引起的慢性传染病,需结合临床表现和实验室检查综合诊断。

痰涂片检查是通过显微镜直接观察痰液中是否存在抗酸杆菌的快速筛查方法。该方法操作简便且成本较低,但灵敏度有限,可能出现假阴性结果。检查前需采集晨起深部痰液,连续送检可提高检出率。痰涂片阳性结果需结合临床症状判断,阴性结果不能完全排除肺结核。
结核菌素试验又称PPD试验,通过皮内注射结核菌素观察皮肤反应判断是否感染结核杆菌。注射后48-72小时测量硬结直径,阳性反应提示既往感染或疫苗接种。该试验无法区分活动性感染与潜伏感染,免疫功能低下者可能出现假阴性。儿童接种卡介苗后可能出现假阳性反应。
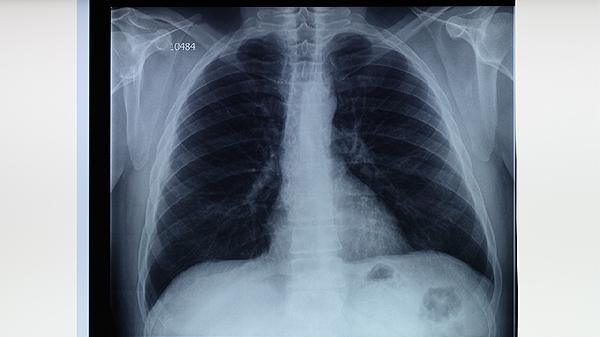
胸部X线可显示肺结核特征性病变,如上叶尖后段或下叶背段的浸润影、空洞形成等。典型表现结合临床症状可初步诊断,但需与肺炎、肺癌等疾病鉴别。该检查对早期粟粒性肺结核检出率较低,孕妇应避免多次照射。CT检查能更清晰显示微小病灶和淋巴结肿大。

γ-干扰素释放试验通过检测血液中结核特异性抗原刺激产生的γ-干扰素诊断结核感染。该方法不受卡介苗接种影响,特异性高于结核菌素试验,但无法区分活动性与潜伏性感染。适用于免疫功能抑制患者的辅助诊断,检查前无须空腹,采血后需及时送检。
分子生物学检测如GeneXpert技术可快速检测痰液中结核分枝杆菌DNA及利福平耐药基因。该方法灵敏度高且检测速度快,2小时内可获得结果,但设备要求较高。适用于疑似耐药结核或HIV合并感染患者的早期诊断,阴性结果需结合其他检查综合判断。

确诊肺结核需结合流行病学史、临床表现和实验室检查综合判断。患者应配合医生完成全部检查流程,检查期间注意呼吸道隔离。确诊后须严格遵医嘱完成全程抗结核治疗,治疗期间定期复查肝肾功能并监测药物不良反应。保持居室通风良好,加强营养摄入,适当进行有氧运动有助于康复。密切接触者应进行结核筛查,出现咳嗽咳痰超过2周需及时就医。