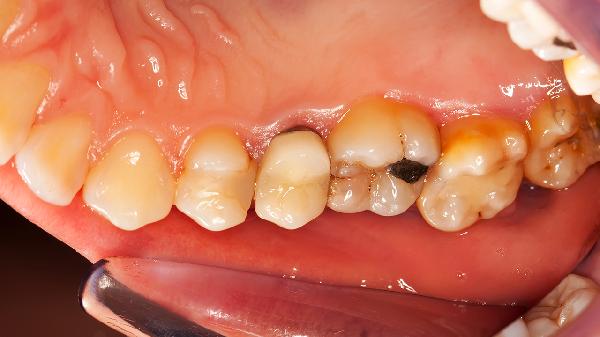
牙齿填充一个洞要多少钱
不孕不育编辑
健康万事通
关键词: #牙齿
不孕不育编辑
健康万事通
关键词: #牙齿
牙齿填充一个洞一般需要200-2000元,具体费用与填充材料、洞型大小、所在城市经济水平等因素有关。

使用玻璃离子材料进行较小洞型填充时费用在200-500元,这类材料具有释放氟离子的特性有助于预防继发龋齿,适用于儿童乳牙及牙龈附近缺损修复。选择复合树脂填充中等大小洞型需要500-1000元,复合树脂能够实现与天然牙齿的高度颜色匹配,通过特殊粘接技术可与牙体组织形成牢固结合。对于涉及多个牙面的复杂洞型采用树脂填充则需800-1500元,这类修复需要分层固化操作并精细调整咬合关系。当缺损波及牙尖需进行嵌体修复时费用在1500-2000元,嵌体在实验室定制加工能恢复更精确的解剖形态。一线城市知名口腔诊所的复合树脂填充价格通常比三四线城市高出三到五成,不同地区医疗定价标准存在差异。牙医会根据龋坏深度决定是否需要垫底处理,这也会相应增加材料成本。现代牙科更推荐使用纳米树脂材料,其耐磨性和抛光性能较传统树脂更优。
建议日常使用含氟牙膏配合牙线清洁牙缝,减少蔗糖类食物摄入频率。每半年接受专业口腔检查便于早期发现龋损,对于已经形成的龋洞应及时进行填充治疗避免病变扩展。餐后漱口与正确刷牙能有效控制牙菌斑形成,降低牙齿邻面龋坏发生概率。定期洁牙可清除常规刷牙难以触及的牙结石,维持牙周组织健康状态。若有冷热刺激敏感症状需及时就诊,这可能是继发龋或填充体边缘渗漏的表现。