博禾医生官网

疾病百科

查疾病 找医生 找医院

眶骨髓炎(眶骨髓炎)

眶骨髓炎

眶骨髓炎概述

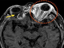
眶骨髓炎(orbitalosteomyelitis)是一种少见的眼眶炎症,可发生在任何年龄,但儿童易患此病可能与其免疫功能尚不完善,易患上呼吸道感染有关。眶上壁是最常见的发病位置,其次为眶外壁,而眶下壁和内壁很少受累。
  • 发病部位在哪里?
  • 应该挂什么科?骨科、眼科
  • 有什么典型症状?充血 、脓性分泌物 、脓肿、水肿
  • 应该做哪些检查项目呢?血常规、眼部CT、X线平片、眼科检查、活体组织病理检查(活检)
  • 这样的病症传染吗?该病不具有传染性
  • 高发人群?所有人群

相关医生

更多

本周疾病关注排行