病毒性肺炎的症状剖析 认清病毒性肺炎的5个症状
呼吸内科编辑
医颗葡萄
呼吸内科编辑
医颗葡萄
病毒性肺炎主要表现为发热、干咳、呼吸困难、胸痛和乏力。病毒性肺炎的典型症状包括呼吸道症状、全身症状、胸肺部症状、消化系统症状和并发症表现。

病毒性肺炎早期多表现为刺激性干咳,随着病情进展可能出现咳痰。呼吸道症状由病毒侵袭呼吸道上皮细胞引起,可导致黏膜充血水肿和炎性渗出。症状较轻时可选择止咳化痰药物缓解,严重者需进行雾化吸入治疗。
患者常出现持续发热,体温可达38-40℃,伴有寒战、头痛等全身中毒症状。这些表现源于病毒血症和炎性介质释放。退热治疗以物理降温为主,高热持续不退需及时就医。

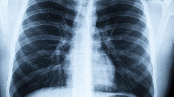
胸痛多呈针刺样,深呼吸时加重,与胸膜受累有关。肺部听诊可闻及湿啰音,严重时出现呼吸急促和口唇发绀。症状明显者需进行胸部影像学检查评估肺实质病变程度。
部分患者伴随食欲减退、恶心呕吐等消化道症状,儿童更易出现腹泻。这些症状与病毒毒素作用和全身炎症反应相关。应注意维持水电解质平衡,必要时进行静脉补液。
重症患者可能出现急性呼吸窘迫综合征、脓毒症等严重并发症。这些情况多发生于免疫力低下人群,表现为呼吸衰竭、血压下降等。需立即住院进行呼吸支持和抗病毒治疗。

病毒性肺炎患者应保持充足休息,每日饮水量不少于2000毫升。饮食宜选择易消化、高蛋白食物如鸡蛋羹、鱼肉粥等,避免辛辣刺激性食物。恢复期可进行适度呼吸训练,如腹式呼吸和缩唇呼吸。居家期间注意开窗通风,保持空气流通。密切监测体温和血氧饱和度,如出现持续高热不退、呼吸困难加重等情况需立即就医。儿童、老人及慢性病患者更应注意病情变化,遵医嘱规范治疗。