牙龈牙根疼是什么原因
婴幼儿喂养编辑
医普小新
关键词: #坏孩子
婴幼儿喂养编辑
医普小新
关键词: #坏孩子
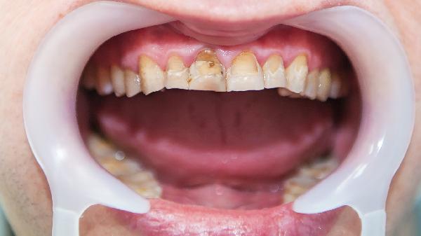
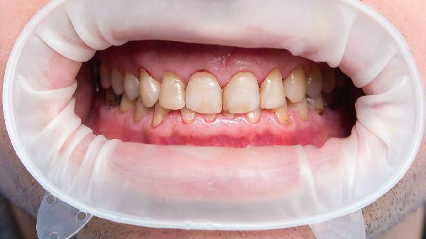
牙龈牙根疼可能由牙龈炎、牙周炎、龋齿、根尖周炎、牙髓炎等原因引起,可通过口腔检查、药物治疗、根管治疗、牙周手术、拔牙等方式缓解。

牙龈炎是牙龈组织的炎症性疾病,主要与牙菌斑积聚有关。典型症状包括牙龈红肿、触碰时出血、口腔异味等。日常需加强刷牙和牙线清洁,遵医嘱使用复方氯己定含漱液、西帕依固龈液、丁硼乳膏等药物控制炎症。
牙周炎是牙龈炎进展导致的深层牙周组织破坏,伴随牙槽骨吸收和牙周袋形成。患者可能出现牙齿松动、牙龈萎缩、咀嚼无力等症状。治疗需结合牙周刮治,配合使用盐酸米诺环素软膏、甲硝唑口颊片、牙周宁片等药物。
龋齿即蛀牙,当病变深入牙本质层时会刺激牙髓神经引发疼痛。特征表现为牙齿色质改变、形成龋洞、冷热刺激敏感等。需通过补牙修复缺损,严重时使用氟化钠甘油糊剂、氨硝酸银溶液等药物抑制龋坏。

根尖周炎多由牙髓感染扩散至牙根尖端组织所致,常表现为持续性钝痛、咬合痛、牙龈脓包等。临床主要采用根管治疗清除感染源,辅助使用阿莫西林克拉维酸钾片、奥硝唑分散片、对乙酰氨基酚片等药物控制感染和疼痛。
牙髓炎通常因深龋或牙裂导致细菌侵入牙髓腔,引发剧烈自发性疼痛、夜间痛加剧、放射性头痛等症状。应急处理可开髓减压,联合布洛芬缓释胶囊、头孢克肟颗粒、樟脑苯酚溶液等药物缓解症状。

出现牙龈牙根疼痛需及时就诊口腔科,通过影像学检查明确病因。日常生活中应选用软毛牙刷轻柔清洁牙龈沟,每日使用牙线清除邻面菌斑,避免过度摄入甜食和酸性饮料。定期进行口腔检查和洁牙能有效预防疾病进展,对于已发生的牙体疾病应早期干预避免组织损伤加重。