肺结核应该做什么样的检查呢
传染科编辑
医路阳光
传染科编辑
医路阳光
肺结核需进行痰涂片检查、结核菌素试验、胸部X线检查、γ-干扰素释放试验、痰培养检查等。肺结核是由结核分枝杆菌引起的慢性传染病,主要通过呼吸道传播,确诊需结合临床表现与实验室检查结果。

痰涂片检查是肺结核初筛的常用方法,通过抗酸染色在显微镜下观察痰液中是否存在结核分枝杆菌。该方法操作简便且成本较低,但灵敏度有限,需连续采集3天晨痰以提高检出率。若结果为阳性,需结合其他检查进一步确诊。检查前应指导患者深咳获取下呼吸道痰液,避免唾液或鼻咽部分泌物干扰结果。
结核菌素试验通过皮内注射纯蛋白衍生物,观察48-72小时后皮肤硬结直径判断感染情况。硬结直径超过15毫米或伴有水疱视为强阳性,提示活动性结核可能。但该试验无法区分现症感染与既往感染,卡介苗接种者可能出现假阳性。免疫功能低下患者可能出现假阴性结果,需结合其他检查综合判断。
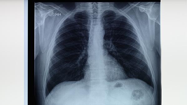
胸部X线可显示肺结核典型病变,如上肺野浸润影、空洞形成或纤维钙化灶。早期表现为斑片状阴影,进展期可出现干酪样坏死伴透亮区。该检查对粟粒型肺结核诊断敏感性较低,需联合CT检查。检查时需去除金属物品,孕妇应告知医生并评估必要性,必要时采用铅防护措施。

γ-干扰素释放试验通过检测血液中结核特异性抗原刺激释放的干扰素水平诊断感染,不受卡介苗接种影响。结果阳性提示结核分枝杆菌感染,但需结合临床症状区分活动性与潜伏性感染。该试验对儿童及免疫抑制患者诊断价值较高,采血前无须空腹,但需在4小时内完成样本处理。
痰培养是确诊肺结核的金标准,通过罗氏培养基或液体培养系统分离结核菌,同时可进行药敏试验。培养周期需4-8周,阳性结果具有确诊意义。采集痰标本前应漱口减少口腔菌群污染,使用无菌容器送检。分子生物学检测如GeneXpert可同步快速检测利福平耐药性,缩短诊断时间。

肺结核患者检查期间应单独居住并佩戴口罩,痰液需用含氯消毒剂处理。饮食需保证优质蛋白如鸡蛋、鱼肉摄入,补充维生素A、D促进病灶修复。避免剧烈运动加重气促症状,定期复查肝肾功能。密切接触者应进行结核筛查,出现咳嗽、低热超过2周需及时就诊。所有抗结核药物均须在医生指导下规范服用,不可自行停药。