肺结核患者应该做什么样的检查呢
传染科编辑
健康真相官
传染科编辑
健康真相官
肺结核患者通常需要进行痰涂片检查、结核菌素试验、胸部X线检查、胸部CT检查、痰培养检查等检查。肺结核是由结核分枝杆菌感染引起的慢性传染病,建议患者及时就医,在医生指导下完善相关检查。

痰涂片检查是诊断肺结核的常用方法之一,通过显微镜观察痰液中是否存在抗酸杆菌。该方法操作简便、成本较低,但敏感度相对有限。患者需留取清晨第一口痰液送检,连续检查可提高检出率。痰涂片阳性结果结合临床表现可初步诊断肺结核。
结核菌素试验又称PPD试验,通过皮内注射结核菌素观察皮肤反应。该试验可反映机体是否感染过结核分枝杆菌,但无法区分活动性感染与既往感染。试验后48-72小时观察注射部位硬结直径,直径超过一定数值提示阳性反应。免疫功能低下者可能出现假阴性结果。
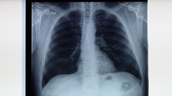
胸部X线检查可发现肺结核引起的肺部病变,如浸润影、空洞形成等。典型表现为上叶尖后段或下叶背段病变。该检查具有辐射量小、费用低的优点,是肺结核筛查的常规手段。但早期病变或某些特殊类型肺结核可能表现不典型。

胸部CT检查能更清晰显示肺部细微病变,对早期肺结核、不典型肺结核的诊断价值较高。CT可发现X线难以显示的小空洞、支气管播散病灶等。高分辨率CT还能评估病变活动性,但检查费用较高且有一定辐射量。
痰培养检查是确诊肺结核的金标准,可分离培养出结核分枝杆菌并进行药敏试验。该方法特异性高但耗时长,通常需要4-8周才能获得结果。采用液体培养基可缩短培养时间。培养阳性结果可明确诊断并为治疗提供依据。

肺结核患者除规范检查外,应注意保持居室通风良好,避免随地吐痰。饮食上保证充足热量和优质蛋白摄入,如鸡蛋、牛奶、瘦肉等。适当进行散步等温和运动有助于增强体质。严格遵医嘱用药,完成全程治疗,不可自行停药。密切接触者应进行结核病筛查。出现咯血、呼吸困难等症状应及时就医。