肺结核的原因是什么
传染科编辑
健康陪伴者
传染科编辑
健康陪伴者
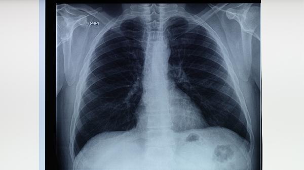
肺结核主要由结核分枝杆菌感染引起,常见原因有遗传易感性、免疫力低下、长期接触传染源、营养不良以及合并慢性疾病等。肺结核可通过飞沫传播,典型症状包括咳嗽、低热、盗汗和体重下降。

部分人群因基因多态性对结核分枝杆菌易感,如HLA-DRB1等位基因变异可能增加感染风险。这类患者需加强防护,避免接触传染源,必要时可遵医嘱使用异烟肼片、利福平胶囊等药物进行预防性治疗。
HIV感染、糖尿病或长期使用免疫抑制剂会导致CD4+T细胞功能受损,削弱机体清除结核杆菌的能力。患者可能出现持续咳嗽伴痰中带血,需联合使用吡嗪酰胺片、乙胺丁醇片等抗结核药物,并积极控制基础疾病。
与活动性肺结核患者共处密闭空间超过8小时,吸入含菌飞沫概率显著增加。此类感染者常见午后潮热、夜间盗汗,需隔离治疗并使用链霉素注射液、对氨基水杨酸钠肠溶片等药物,接触者应进行结核菌素试验筛查。

长期缺乏优质蛋白和维生素D会影响肺泡巨噬细胞杀菌功能。这类患者除典型结核症状外,多伴有消瘦贫血,治疗时需配合营养支持,同时使用利福喷丁胶囊、丙硫异烟胺肠溶片等药物。
尘肺病、慢性阻塞性肺疾病等会破坏呼吸道屏障功能,增加结核杆菌定植概率。患者可能出现呼吸困难加重,需在控制原发病基础上联合使用左氧氟沙星片、环丝氨酸胶囊等二线抗结核药物。

肺结核患者应保证每日摄入60-80克优质蛋白,优先选择鱼肉蛋奶等易消化食物,避免辛辣刺激饮食。居住环境需保持通风干燥,每日紫外线消毒30分钟,康复期可进行八段锦等温和运动增强肺功能。治疗期间严格遵医嘱完成6-9个月规范用药,定期复查胸部CT和痰培养,接触者应进行预防性筛查。