关于肺结核的检查你需要了解一下
传染科编辑
医普小新
传染科编辑
医普小新
肺结核的检查主要包括结核菌素试验、痰涂片检查、胸部X线检查、痰培养检查和分子生物学检查等。肺结核是由结核分枝杆菌引起的慢性传染病,主要通过呼吸道传播,患者可能出现咳嗽、咳痰、发热、盗汗等症状。建议出现疑似症状时及时就医检查。

结核菌素试验是通过皮内注射结核菌素纯蛋白衍生物,观察注射部位皮肤反应来判断是否感染结核分枝杆菌的方法。该试验主要用于筛查结核感染,但不能区分活动性结核和潜伏感染。阳性反应表现为注射部位出现硬结,直径超过5毫米可能有临床意义。结核菌素试验操作简单,但可能受到卡介苗接种等因素影响。
痰涂片检查是通过显微镜直接观察痰标本中是否存在抗酸杆菌的检查方法。该方法简便快速,是诊断肺结核的重要依据之一。检查前需要采集晨起深部痰液,连续3天送检可提高检出率。痰涂片阳性提示传染性强,但阴性不能排除肺结核诊断。该方法特异性较高但敏感性相对较低。
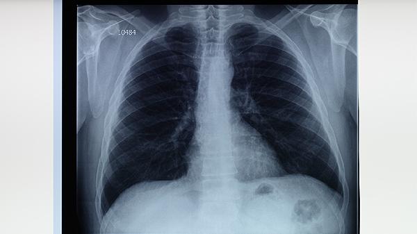
胸部X线检查是肺结核诊断的基本影像学方法,可发现肺部病变的位置、范围和性质。典型肺结核X线表现为上叶尖后段或下叶背段浸润性病变,可能伴有空洞形成。胸部X线检查有助于评估病情严重程度和治疗效果,但不能单独作为确诊依据。对于疑似病例,需要结合其他检查结果综合判断。

痰培养检查是将痰标本接种于特殊培养基,培养结核分枝杆菌的方法。该方法特异性高,是确诊肺结核的金标准,同时可进行药敏试验指导治疗。但培养周期较长,通常需要4-8周才能获得结果。为提高检出率,建议采集3份合格痰标本送检。痰培养阳性可确诊肺结核,但阴性结果不能完全排除诊断。
分子生物学检查如GeneXpert等核酸检测技术,可直接检测痰标本中的结核分枝杆菌DNA。该方法快速灵敏,可在2小时内获得结果,同时可检测利福平耐药性。分子生物学检查对涂阴肺结核的诊断价值较高,但设备要求高且费用较贵。该检查可作为肺结核快速诊断的重要补充手段,但不能完全替代传统检查方法。

肺结核患者应注意保持室内空气流通,避免随地吐痰,咳嗽时用纸巾遮掩口鼻。饮食上应保证充足营养,多摄入优质蛋白和维生素丰富的食物,如鸡蛋、牛奶、瘦肉、新鲜蔬菜水果等。适当进行有氧运动如散步、太极拳等有助于增强体质。治疗期间应严格遵医嘱服药,定期复查,避免自行停药导致治疗失败或耐药。密切接触者应进行结核筛查,出现可疑症状及时就医。