博禾医生官网

疾病百科

查疾病 找医生 找医院

上颌后缩(上颌后缩)

上颌后缩

上颌后缩概述

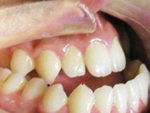
上颌后缩主要是指上颌后缩,下颌位置基本正常,前牙反合,后牙近中合。上颌后缩是由于乳磨牙早失,后牙前移,上颌前牙后移而造成前牙反合,后牙近中合;上颌后缩是因为上颌骨发育不全,上前牙先天缺失或者侧切牙腭侧异位而造成前牙反合,后牙中性合或者近中合。至于腭裂造成的上颌后缩,则前后牙大都成反合,后牙近中合。
  • 发病部位在哪里?
  • 应该挂什么科?整形外科、口腔科、颌面外科
  • 有什么典型症状?下颌角外翻、下颌前突
  • 应该做哪些检查项目呢?X线平片、口腔科检查
  • 这样的病症传染吗?该病不具有传染性
  • 高发人群?生长发育期的儿童

相关文章

更多

相关问答

更多

郑灏

Q: 什么是上颌后缩

A: 上颌后缩是由于上颌骨发育不足引起的。在正常人中,上颚牙齿咬在下颌牙齿前面,上颌后...

高天

Q: 上颌后缩怎么回事

A: 上颌后缩的病情,现在的年轻患者比较少,但是年纪大的患者还是很多的,患者的下颌部分...

秦明珠

Q: 地包天上颌后缩怎么治疗

A: 建议到正规医院进行牙齿或者面部的矫正,地包天比较严重会造成下巴外凸,矫正后可能皮...

本周疾病关注排行