用力呼吸胸痛的原因
心胸外科编辑
健康真相官
心胸外科编辑
健康真相官
用力呼吸时胸痛可能由肌肉拉伤、肋软骨炎、胸膜炎、气胸或心绞痛等原因引起。建议及时就医明确诊断,避免延误治疗。

剧烈运动或突然用力可能导致胸壁肌肉拉伤,表现为深呼吸或咳嗽时局部刺痛。触摸疼痛区域可能有压痛感,通常伴随活动受限。可通过热敷缓解症状,疼痛明显时可遵医嘱使用布洛芬缓释胶囊、双氯芬酸钠肠溶片等非甾体抗炎药。避免短期内重复进行上肢负重活动有助于恢复。
肋软骨与胸骨连接处无菌性炎症常导致前胸刺痛,用力呼吸时疼痛加剧。触诊可发现局部肿胀,按压痛感明显。该病可能与病毒感染或反复微损伤有关。治疗可选用塞来昔布胶囊、洛索洛芬钠片等抗炎药物,配合局部红外线理疗。日常需注意保持正确坐姿,避免胸部受压。
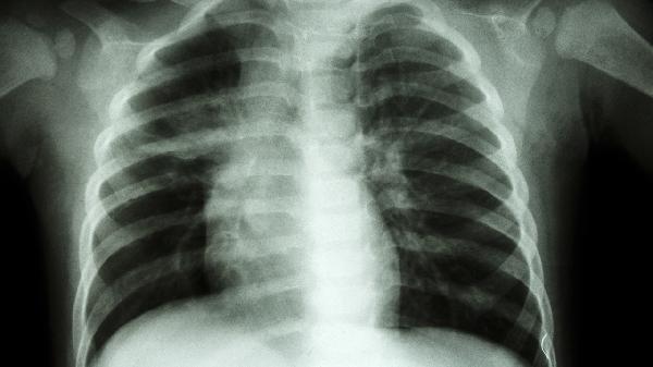
肺部感染或结核等疾病引发的胸膜炎症,会产生尖锐的胸痛且随呼吸加重。常伴有发热、咳嗽等症状,听诊可闻及胸膜摩擦音。需完善胸部CT等检查,确诊后使用盐酸莫西沙星片、利福平胶囊等抗感染药物。胸腔积液量大时可能需行胸腔穿刺引流术。

肺泡破裂导致气体进入胸膜腔时,突发刀割样胸痛伴随呼吸困难。瘦高体型青年自发性气胸概率较高,听诊患侧呼吸音减弱。X线检查可明确诊断,少量气胸可观察吸收,严重者需行胸腔闭式引流术。恢复期间禁止剧烈运动和乘坐飞机。
冠状动脉供血不足可能在用力时诱发心前区压榨痛,疼痛可放射至左肩背部。多见于高血压、糖尿病患者,心电图显示ST段改变。需立即舌下含服硝酸甘油片,长期服用阿托伐他汀钙片、琥珀酸美托洛尔缓释片等药物。日常需控制血压血糖,避免情绪激动和过度劳累。

出现呼吸相关性胸痛时应立即停止活动,采取舒适体位休息。记录疼痛特点、持续时间及伴随症状,就医时详细告知医生。避免自行服用止痛药掩盖病情,心脑血管疾病高危人群需随身携带急救药物。保持规律作息和适度运动有助于增强胸廓肌肉耐力,吸烟者应尽早戒烟以减少肺部疾病风险。