双肺多发结节的常见疾病
普外科编辑
科普小医森
普外科编辑
科普小医森
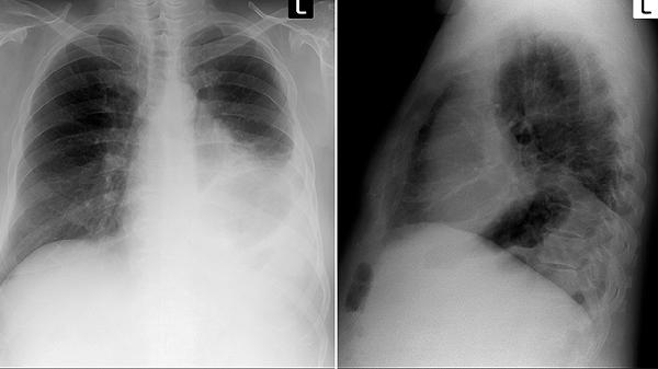
双肺多发结节可能与肺结核、肺转移瘤、肺真菌感染、结节病、尘肺等疾病有关。肺部结节通常表现为咳嗽、胸痛、呼吸困难等症状,建议及时就医明确诊断。

肺结核是由结核分枝杆菌感染引起的慢性传染病,可能与免疫力低下、密切接触患者等因素有关。患者可能出现低热、盗汗、消瘦等症状。临床常用异烟肼片、利福平胶囊、吡嗪酰胺片等药物进行抗结核治疗。治疗期间需定期复查肝功能,避免饮酒。
肺转移瘤是其他部位恶性肿瘤经血行转移至肺部形成的结节,可能与乳腺癌、结肠癌、肝癌等原发肿瘤有关。患者可能出现咯血、持续性咳嗽等症状。诊断需结合原发肿瘤病史,治疗以原发肿瘤治疗为主,必要时可考虑肺部病灶切除术。
肺真菌感染常见于免疫功能低下人群,可能与长期使用免疫抑制剂、艾滋病等因素有关。患者可能出现发热、咳痰等症状。临床常用氟康唑胶囊、伊曲康唑胶囊、两性霉素B脂质体等抗真菌药物。治疗期间需监测肝肾功能。

结节病是一种原因不明的多系统肉芽肿性疾病,可能与遗传、环境因素有关。患者可能出现皮肤损害、眼部症状等肺外表现。临床常用泼尼松片、甲氨蝶呤片等药物控制病情。定期随访肺功能变化很重要。
尘肺是由于长期吸入生产性粉尘引起的肺部疾病,可能与煤矿、石棉等工作环境有关。患者可能出现进行性加重的呼吸困难。临床治疗以脱离粉尘环境为主,可使用乙酰半胱氨酸泡腾片、氨溴索口服溶液等药物改善症状。严重者可能需要肺移植。

发现双肺多发结节应尽早就医完善检查,包括胸部CT、肿瘤标志物、结核菌素试验等。日常生活中需戒烟,避免接触粉尘和污染空气,保持适度运动增强免疫力。饮食上注意营养均衡,适当增加优质蛋白和维生素摄入。遵医嘱定期复查,观察结节变化情况。