牙龈疼痛怎么办牙龈上还多长出一些肉怎么办
内科编辑
医言小筑
内科编辑
医言小筑
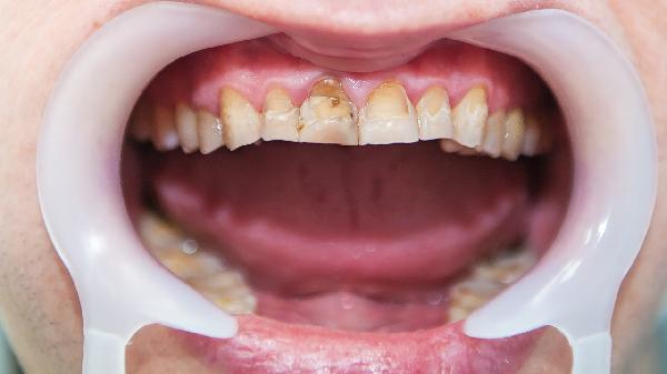
牙龈疼痛并伴随着牙龈上长出多余的肉,可能让人感到不适和担忧。这种情况可能与不良饮食习惯有关,也可能是某些口腔疾病的表现,如根尖周炎或牙龈瘤。要想有效缓解这种症状,首先需要了解其可能的原因,并采取相应的措施。

1、不良饮食习惯
如果你平时常吃辛辣或刺激性的食物,这可能会对牙龈产生刺激,导致疼痛和异常的增长。为了改善这种情况,建议调整饮食,选择清淡且易消化的食物,如苹果、菠菜和芹菜等新鲜蔬菜和水果。这些食物不仅有助于缓解牙龈的不适,还能提供必要的营养。
2、根尖周炎
这是指根尖周围组织的炎症,通常由细菌感染引起,会导致牙齿部位红肿和疼痛,甚至可能出现叩击痛。对于这种情况,通常需要在医生的指导下使用抗生素如阿莫西林或甲硝唑进行治疗。同时,红外线照射可能作为辅助治疗方法来减轻炎症。
3、牙龈瘤
这是一种良性口腔黏膜肿瘤,可能与局部刺激或内分泌失调有关。牙龈瘤通常表现为牙龈乳头或边缘的球状或椭圆形增生物,并可能伴有出血。手术切除是常见的治疗方法,术后需要保持口腔卫生,以防感染。
牙髓息肉等其他原因也可能导致类似症状。出现这些症状时,及时就医查明具体原因非常重要。医生会根据具体病因制定相应的治疗方案,以帮助你有效地解决这一问题。

在处理牙龈问题时,定期进行口腔检查和保持良好的口腔卫生习惯是关键。这不仅能预防牙龈疾病,还能提高整体口腔健康水平。如果你正面临牙龈疼痛或其他异常情况,切勿忽视,及时咨询专业医生以获得适当的治疗和建议。