博禾医生官网

疾病百科

查疾病 找医生 找医院

肺转移瘤(肺转移瘤)

肺转移瘤

肺转移瘤概述

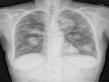
肺转移瘤是指原发于其他部位的恶性肿瘤经血液或淋巴液转移到肺脏组织。死于恶性肿瘤的患者中,20%~30%有肺转移。肺转移发生的时间长短不一,少数肺转移瘤比原发肿瘤更早发现。原发恶性肿瘤多来自乳腺、骨骼、消化道和泌尿生殖系统。肺转移瘤多为两肺多发性病灶,大小不一,密度均匀。目前尚无有效的治疗方法,肺内单个转移病灶可考虑外科... [详情]
  • 发病部位在哪里?肺及肺系
  • 应该挂什么科?呼吸内科、肿瘤外科
  • 有什么典型症状?胸痛、气急、呼吸困难、咳嗽、咳血痰 、胸闷
  • 应该做哪些检查项目呢?胸部MRI、胸部CT、X线平片
  • 这样的病症传染吗?该病不具有传染性
  • 高发人群?所有人群

相关问答

更多

陈健鹏

Q: 肺转移瘤最常见的ct表现

A: 肺转移瘤最常见的CT表现有多发结节影、磨玻璃样结节、空洞性病变、淋巴结肿大等。...

陶新曹

Q: 肺转移瘤是什么意思

A: 肺转移瘤是指其他部位恶性肿瘤通过血液、淋巴等途径扩散至肺部形成的继发性肿瘤,常...

陈健鹏

Q: 肺转移瘤能治好吗

A: 肺转移瘤的治疗效果与原发性肿瘤类型、转移灶数量及患者整体状况有关,部分患者可通...

王得翔

Q: 肺转移瘤能活多久

A: 肺转移瘤患者的生存期一般为数月到数年,实际时间受到原发肿瘤类型、转移灶数量、治...

本周疾病关注排行