发热、乏力、意识障碍等症状出现时,当心是病毒性脑炎
摘要:10岁的患者因无明显诱因,出现发热,至当地卫生所进行抗感染治疗,用药后出现精神差、抽搐、表现为意识不清、双眼凝视、口唇发绀、口吐白沫等现象,遂至医院就诊。主诉:表现为发热、乏力、无痰性干咳、头部持续胀痛、腹泻、呕吐、意识障碍、意识不清、惊厥、脑膜刺激征、颈部强直、呼吸循环衰竭等症状。经过脑脊液常规生化检查、头颅磁共振成像(MRI)检查等检查结果,结合主诉最终被确诊为单纯疱疹病毒性脑炎,经过相关药物的治疗,治疗过程无药物副反应、耐受性好,患者的病情得到了极大改善。
【基本信息】女、10岁
【疾病类型】病毒性脑炎
【就诊医院】佳木斯市中心医院
【就诊时间】2020年12月
【治疗方案】以药物治疗为主,甲泼尼龙、泼尼松片、更昔洛韦等联合治疗
【治疗周期】住院治疗2周
【治疗效果】治疗过程无药物副反应、耐受性好,经过一系列药物治疗后,病情得到了改善
一、初次面诊
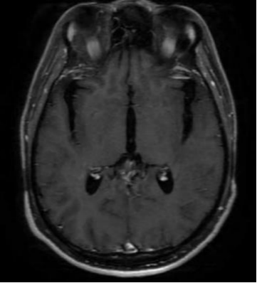
今天门诊来的一对夫妇,带着10岁的患者走进诊室,孩子看上去脸色苍白、口唇发绀、精神状态不佳,经过患者父母描述,孩子近期出现无明显诱因出现发热,至当地卫生所进行采用阿奇霉素结合头孢菌素类抗菌药物进行抗感染治疗,用药后出现精神差、抽搐、表现为意识不清、双眼凝视等现象。主诉:发热、乏力、无痰性干咳、头部持续胀痛、腹泻、呕吐、意识障碍、口唇发绀、意识不清、惊厥、脑膜刺激征、颈部强直、呼吸循环衰竭。鉴于患者的病情,遂立即进行相关检查,脑脊液常规生化:糖定性(+),脑脊液单纯疱疹病毒DNA(+)。头颅磁共振成像(MRI)示:双侧额颞顶部异常信号,MRI冠状位(T1增强)示双侧颞叶、侧脑室旁、岛叶及扣带回、右侧眶额回脑实质略肿胀,其内见片状长T1、长T2信号,DWI见高信号,ADC减低不明显,增强检查右侧颞叶不均匀异常强化。考虑颅内感染。经过医生诊断结合既往病史、家族遗传史、主诉及一系列的检查结果显示,患者被确诊为单纯疱疹病毒性脑膜炎。


图一 头颅磁共振成像(MRI)
二、治疗经过
经过一系列检查结果:入院查体、头颅磁共振成像(MRI)和脑脊液常规生化检查等检查结果结合主诉及医生相关诊断,综合判断患者为单纯疱疹病毒性脑膜炎,鉴于患者的病情较重,随即安排患者进行住院治疗,患者家属随即办理住院手续,经过医生与患者家属沟通采用药物进行相关治疗。甲泼尼龙持续3 d,之后改为泼尼松片治疗 3 d,甲泼尼龙片治疗6 d,及给予更昔洛韦抗病毒及营养神经等对症处理,患者精神症状较前有所好转,但仍不能进行正常语言交流,易兴奋,爱玩闹,易怒,情绪表达较前丰富。后续言语康复治疗2个月余,患者精神行为异常得到明显改善。
三、治疗效果
小患者在接受治疗前表现为发热、乏力、无痰性干咳、头部持续胀痛、腹泻、呕吐、意识障碍、意识不清、惊厥、脑膜刺激征、颈部强直、呼吸循环衰竭等症状。在神经内科医护人员精心治疗和护理下,经一系列药物对症治疗,治疗过程无药物副反应、耐受性好。通过相关药物治疗后,小患者的身体状况得到了极大改善,症状得到了有效控制,病情得到了缓解。进行为期2周的住院治疗,患者身体机能恢复正常,遂办理出院,后续言语康复治疗2个月余,患者精神行为异常得到明显改善。出院半个月复查一切正常,患者家属对治疗效果非常满意。
四、注意事项
1.及时调整饮食结构,适度增加营养,保证肉蛋奶的供应,减少熬夜时间,注意个人卫生,通过增强体质切断病毒感染途径。病毒性脑炎应当按照医生要求定时定量坚持服药,不能自己调整药物剂量和方法,更不能中断服药,以免治疗不彻底遗留后遗症。
2.病毒性脑炎患者宜进清淡饮食,不宜大量吃烧烤,火锅之类的辛辣刺激性食物,避免引起肠道病毒感染。
3.患者通过锻炼身体,营养饮食来提高自身免疫力,进而避免得病或复发;避免过度劳累,淋雨等,这样容易导致抵抗力下降,诱发疾病;还可以通过预防接种疫苗,避免一些病毒感染,如脊髓灰质炎,狂犬病毒,麻疹病毒等。
五、个人感悟
通过对该病例中患者的治疗,我们能够看到患者的身体恢复正常健康状态,单纯疱疹病毒性脑炎是比较特别严重的疾病,可能表现为:发热、乏力、无痰性干咳、头部持续胀痛、腹泻、呕吐、意识障碍、意识不清、惊厥、脑膜刺激征、颈部强直、呼吸循环衰竭等症状。大家平时需要多注意观察,如果孩子出现上述症状,需要及时前往医院就诊,及时进行相关药物的治疗,单纯疱疹病毒性脑炎如果长时间不治疗可能会加重病情的程度,会对身体造成比较大的损害,所以一定要注意辨别和就诊。患者在身体恢复后,要定期来医院进行复查,明确身体的恢复情况,以免延误病情的诊治。
相关推荐
02:49
02:52
02:55
02:55
02:57
为你推荐
科普文章
短视频
科普文章
短视频
热门问题
专家答疑
生活问答
- 1 病毒性脑炎由什么引起
- 2 病毒性脑炎严重吗
- 3 病毒性脑炎与什么有关
- 4 病毒性脑炎是怎么引起的
- 5 病毒性脑炎什么引起的
- 6 病毒性脑炎病毒性脑炎会传染吗
- 7 病毒性脑炎严重吗病毒性脑炎会不
- 8 什么是病毒性脑炎




