博禾医生官网

疾病百科

查疾病 找医生 找医院

非特异性间质肺炎(非特异性间质肺炎)

非特异性间质肺炎

非特异性间质肺炎概述

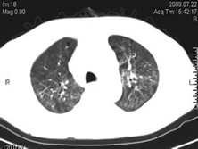
非特异性间质性肺炎(NSIP)是特发性肺间质性疾病(ⅡP)的一种类型。过去归纳在特发性肺间质纤维化中,因其临床、病理、影像学、肺功能等改变,尤其对糖皮质激素的治疗反应和预后与IPF都有显著的不同,故近年将其从IPF中分离出来,作为一种独立的特发性肺间质疾病。因其临床症状和病理特点相对缺乏特异性,临床多被诊断为IPF,实... [详情]
  • 发病部位在哪里?肺及肺系
  • 应该挂什么科?呼吸内科、传染科、中医内科
  • 有什么典型症状?白细胞增多、呼吸困难、咳嗽、啰音 、贫血、血沉增快
  • 应该做哪些检查项目呢?X线平片
  • 这样的病症传染吗?该病具有传染性
  • 高发人群?所有人群

相关语音

更多

相关文章

更多

相关问答

更多

王海燕

Q: 什么是非特异性间质肺炎

A: 非特异性间质肺炎是一种发病原因不明的肺炎,多发生于中老年人群中,没有传染性,它的...

本周疾病关注排行