博禾医生官网

疾病百科

查疾病 找医生 找医院

肺组织细胞增生症(肺组织细胞增多病、肺组织细胞增多症)

肺组织细胞增生症

肺组织细胞增生症概述

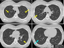
肺组织细胞增生症即肺朗格汉斯组织细胞增生症(PLCH),以前被称为肺嗜酸性粒细胞肉芽肿,肺组织细胞增多症X,是一种发病率较低的疾病。肺可单独受累或成为全身多器官受累的一部分,患者多为成年吸烟男性。
  • 发病部位在哪里?肺及肺系
  • 应该挂什么科?呼吸内科
  • 有什么典型症状?干咳、发热、呼吸困难、体重减轻、神疲乏力、胸痛
  • 应该做哪些检查项目呢?血常规、胸部CT、红细胞沉降率检测、X线平片、肺功能检查、支气管镜
  • 这样的病症传染吗?该病不具有传染性
  • 高发人群?所有人群

相关问答

更多

陶新曹

Q: 肺组织细胞增生症传染吗

A: 肺组织细胞增生症不属于传染性疾病,该病主要与基因突变、吸烟刺激、免疫功能异常、...

本周疾病关注排行