博禾医生官网

疾病百科

查疾病 找医生 找医院

非IgA系膜增生性肾炎(非IgA系膜增生性肾炎)

非IgA系膜增生性肾炎

非IgA系膜增生性肾炎概述

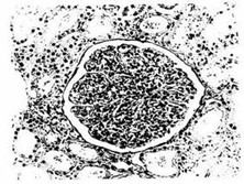
非IgA系膜增生性肾炎是指光镜下病理学改变以弥漫性系膜细胞增生和/或系膜基质增宽的一组疾病。本病多数起病隐匿,部分起病前有感染史,以上呼吸道感染为多,病原不明确。
  • 发病部位在哪里?下腹
  • 应该挂什么科?肾内科
  • 有什么典型症状?蛋白尿、血尿
  • 应该做哪些检查项目呢?肾脏及输尿管B超
  • 这样的病症传染吗?该病不具有传染性
  • 高发人群?所有人群

相关文章

更多

相关问答

更多

刘茂静

Q: 非IgA系膜增生性肾炎是什么

A: 非IgA系膜增生性肾炎是一种以肾小球系膜细胞增生和基质增多为主要病理特征的肾小...

李方晓

Q: 非IgA系膜增生性肾炎治疗方法有哪些

A: 非iga系膜增生性肾小球肾炎应采用激素休克治疗,如果是激素敏感型,需要大剂量激素...

王婷

Q: 非IgA系膜增生性肾炎是什么病

A: 非iga系膜增生性肾炎是一组疾病。患者表现为系膜增生,如果有系膜增生和iga沉积...

本周疾病关注排行