肺结核病诊断检测方法
传染科编辑
医学科普人
传染科编辑
医学科普人
肺结核病诊断检测方法主要有痰涂片检查、痰培养检查、分子生物学检测、影像学检查、结核菌素试验等。肺结核是由结核分枝杆菌引起的慢性传染病,早期诊断对控制病情传播和改善预后至关重要。

痰涂片检查是肺结核诊断的常用方法,通过显微镜观察痰液中是否存在抗酸杆菌。该方法操作简便、成本较低,适合基层医疗机构开展。但痰涂片检查的敏感性相对较低,可能出现假阴性结果。对于疑似肺结核患者,通常需要重复进行多次痰涂片检查以提高检出率。痰涂片阳性结果结合临床表现可初步诊断肺结核。
痰培养检查是诊断肺结核的金标准,通过培养痰液中的结核分枝杆菌来确诊。该方法特异性高,能鉴别结核分枝杆菌和非结核分枝杆菌。痰培养检查的缺点是耗时较长,通常需要4-8周才能获得结果。改良的液体培养基可缩短培养时间至2-3周。痰培养检查还能进行药物敏感性试验,为临床治疗提供指导。
分子生物学检测如XpertMTB/RIF技术能在2小时内快速检测结核分枝杆菌及其对利福平的耐药性。该方法具有高敏感性和特异性,特别适用于痰涂片阴性肺结核的诊断。分子生物学检测还能检测多种抗结核药物的耐药基因突变。但该方法设备要求高、成本较高,在资源有限地区的应用受到限制。

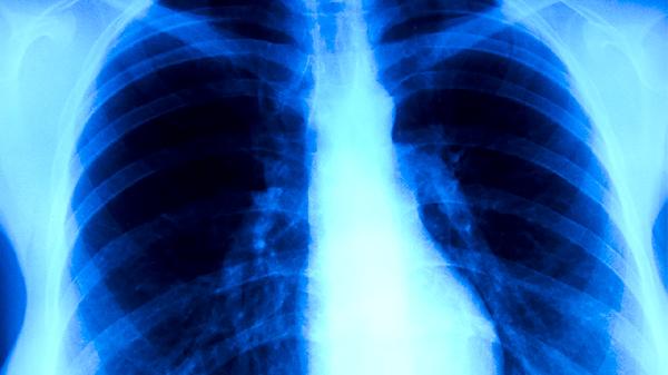
胸部X线检查是肺结核筛查的重要手段,能发现肺部浸润、空洞、纤维化等典型改变。CT检查能更清晰地显示病变细节,对早期病变和肺外结核的诊断价值更高。影像学检查不能单独确诊肺结核,需结合临床表现和其他实验室检查结果。肺结核的影像学表现多样,需与肺炎、肺癌等疾病进行鉴别。
结核菌素皮肤试验通过皮内注射纯蛋白衍生物观察局部反应,判断是否感染结核分枝杆菌。该试验主要用于结核感染筛查,不能区分活动性结核和潜伏感染。干扰素γ释放试验是新型的结核感染检测方法,特异性高于结核菌素试验。这两种方法都不能单独用于活动性肺结核的诊断,需结合其他检查结果综合判断。

肺结核患者应注意保持室内空气流通,避免随地吐痰。咳嗽、打喷嚏时应遮掩口鼻,痰液需消毒处理。保证充足营养摄入,适当进行有氧运动增强体质。严格遵医嘱完成全程抗结核治疗,定期复查评估疗效。密切接触者应进行结核筛查,出现咳嗽、低热等症状及时就医。保持良好的个人卫生习惯,增强免疫力有助于预防结核感染。